我的骨裂日記
(將會持續更新內容,直到康復)
| 仙人掌(2019/01/16)的真心話 星期三 天氣雨 編號19-015 |
發生交通意外
晚上, 前往鄰近的加油站加油, 沒想到經過水果攤的時候, 有一輛原本路邊停車的車子忽然駛入車道(
未打方向燈), 我在煞車的過程中, 機車因天雨路滑滑倒, 我整個人摔倒在地上。 前面那輛車沒停下來, 我在地上眼睜睜的看著他開走了。
我站起身來想牽自己的機車, 卻發現我連站都站不穩, 只好請水果攤的人幫我牽車, 水果攤的人還找位置讓我坐。
水果攤的人建議我叫救護車, 但我覺得稍做休息之後應該可以走動。有一度曾痛到失去意識(應該是暈倒),迷迷糊糊當中,聽到水果行的人跟我說話才又清醒。
後來,小純來了(小純在二樓,他手機放在四樓, 花了一番功夫才聯絡到他)。 我跟小純說, 我要騎機車去加油,
請他騎在我的後面。 小純跟賣水果的人,都建議我不要騎車, 但我還是執意要騎。我再度站了起來, 發現我還是無法站穩, 忍痛坐上機車之後, 發現右手也不太能催油門,
只能小小力的發動。 辛苦的騎到加油站加油之後並騎回家。
兩個手掌紅腫疼痛↓
--
| 仙人掌(2019/01/17)的真心話 星期四 天氣晴 編號19-016 |
爸媽來台中
抵達澄清醫院後,媽、小純和我先下車,爸先開車去停車場放,我們在門口借了輪椅 (借輪椅不用押金或證件),我坐了上去,小純幫我推,這也是我這輩子第一次坐輪椅。以前小純總會開玩笑跟我說,等我老了會幫我推輪椅去曬太陽,沒想到這件事還提早發生了。
骨科的門診在地下一樓,現在報到都直接在門診門口插健保卡就好,很方便。我的印象還停留在把健保卡拿給門診的護理師。
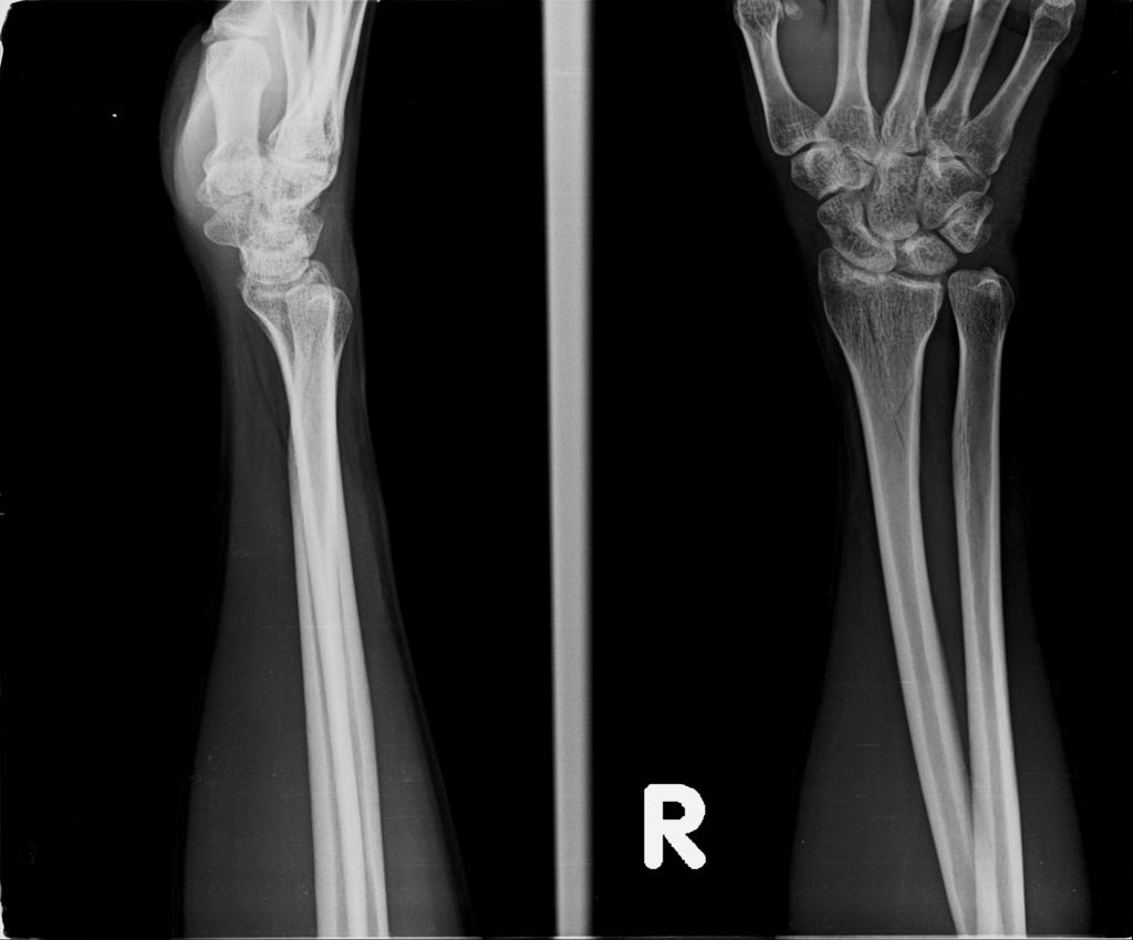
至門診報到,插入健保卡即可↓
左腳X光↓

右手X光↓
上完石膏後,便準備回家了,爸媽先去開車過來,我和小純在門口等時,發現放輪椅的地方有助行器,小純跟我說,不知道能不能借回家,我回應說,一定不行的,因為那是出借給來醫院看診的。後來小純幫我去詢問服務人員,還真的可以借回家呢,也不用押金或證件,也沒有訂定歸還的日期,好了再歸還即可。
至派出所備案
回家前,至派出所備案,要請保險用的,雖然事隔一天,但員警仍幫我受理,也有做了酒測(酒測值為0.00),當中一位員警很親切,一直叫我小心、慢慢來就好,讓我感到很溫暖,也希望保險能夠申請,不無小補啊。 做筆錄時,我的手因為手腕骨裂而無法出力,大部份都是由員警代筆,我只有最後要簽名時,有拿起筆簽上我名字,因手無法出力,所以簽的有點不像我的字跡,我還怕員警誤以為我亂簽,還特別跟他說明了一番。
爸載小純回去騎我的車至派出所讓員警拍照↓
--
| 仙人掌(2019/01/18)的真心話 星期五 天氣晴 編號19-017 |
公司來慰問我 & 爸媽回雲林
凌晨,我從客廳走上四樓了,這也是自從骨裂後,第一次回到自己的房間,小純看到我走上去,嚇了一大跳,他以為我今天也會睡客廳,我覺得應該還是可以走樓梯,只是要慢慢走就是了。
小純幫我在副木的固定帶寫上編號,以方便未來拆下來清潔時,知道要如何裝回去↓
下星期公司有個案子要進場施作,趁著空檔,我用握不太住筆的右手,畫出了電箱更改的示意圖和注意事項。
忍痛畫的圖,有些好笑↓
| 仙人掌(2019/01/19)的真心話 星期六 天氣晴 編號19-018 |
--
| 仙人掌(2019/01/20)的真心話 星期日 天氣晴 編號19-019 |
--
| 仙人掌(2019/01/21)的真心話 星期一 天氣晴 編號19-020 |
--
| 仙人掌(2019/01/22)的真心話 星期二 天氣晴 編號19-021 |
--
| 仙人掌(2019/01/23)的真心話 星期三 天氣晴 編號19-022 |
下午,小純幫我洗頭、洗澡,因為手腳骨裂的關係,所以洗頭、洗澡對我而言都是大工程,之前都是用溼毛巾擦頭髮及身體,因為要避免手腕的固定,以及腳的副木跑掉,所以都僅是用擦拭的方式。
洗澡的時候,取下手腕固定及副木,不知道是太冷還是怎樣,骨裂的右手一直發抖,不過沖到久違的熱水澡又感到很舒服,也謝謝小純這陣子真的很無微不至的照顧我。
之後幾天,就是充足的休息了,手腳都骨裂,我原本以為腳裂會對我的生活比較麻煩,因為行動不便。但後來發現,真正影響我生活的,是手。因為打上石膏之後,還是能夠走到目的地,只是走的比較慢而已,在家裡頭其實也不用走很遠。但手就不一樣了,骨裂的是慣用手右手,手腕不太能轉,做許多事都受到限制,從原本的右主左輔,變成了左主右手卻不太能輔助,這幾天真的是幸好有小純的照顧,否則不知道該如何是好。
希望接下來的休養,能讓我早點康復。
--
| 仙人掌(2019/01/24)的真心話 星期四 天氣晴 編號19-023 |
參加公司的尾牙
雖然請了傷假,但晚上有去參加公司的尾牙,一到達的先抽籤,結果我竟然抽中『籤王』,第一組第一號,當抽中的瞬間,我心裡頭著想:「該不會我今年的運勢,就是這麼倒霉吧?」
折
| 仙人掌(2019/01/31)的真心話 星期四 天氣晴 編號19-028 |
下午一點,武成來我家找我,從公司幫我帶來過年禮金及禮物,尾牙那天,聽武成說他手也曾斷過,我便向他詢問,武成的手是在大學時期斷過,悲慘的故事還一直延續到當兵,過程曲折離奇,我和小純都聽的哈哈大笑,但想必當時一定也是很難熬吧。或許武成因這件事情,深知骨折的嚴重性,還保了骨折險,他說補助的費用,是看受傷的部位而定,我所受傷的手腕部位,因牽涉到許多地方,可補助百分之四十。
爸媽來台中 載我去澄清
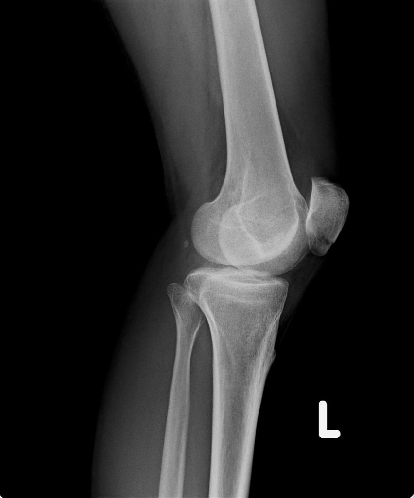
下午兩點初,爸媽從雲林來到台中,約三點半左右載我去澄清醫院。到達後先照了手和腳各兩張的X光,照完再至門診報到。骨裂後一段時間,當骨頭有感覺比較好時,很期待趕快去回診,想盡快知道我恢復了多少,但到了門診這天,原本應是期待的心情卻也參雜了些許不安的情緒。
進入門診前,我自認為手比腳恢復還快,因為比起一開始,手指比較能出力了,手腕可轉動的範圍也變大了。腳因一直用副木石膏固定住,不能動,所以也不知恢復多少。進入門診後,黃醫師說斷裂的骨頭都沒移位。手沒什麼進展(骨頭不會長那麼快),腳的部份下回再來復診時,可能會恢復的較快了。

左腳X光照↓
手沒什麼進展這件事,讓我比較吃驚,詢問黃醫師,手如果也改用副木,會不會比較好,黃醫師說,他個人是認為沒什麼差。他看著X光片照出來的結果,說開刀或不開刀他覺得都差不多。
離開門診後,我跟媽討論了一下,我說我的手明明能動的範圍變大了,怎會沒什麼進展?媽說有可能之前會痛是因為發炎的關係,和骨頭無關,現在發炎好了,手就不那麼痛了,我聽了感覺蠻有道理的,只能等骨頭慢慢癒合了。
回到台中家,小純跟媽說了許多骨折的注意事項及吃什麼東西對骨頭好,非常感謝小純在這兩個星期無微不至的照顧,弄了許多對骨頭有幫助的食物給我吃,當爸媽載我離開台中家時,我不自覺的掉下淚來,掉淚的原因是這陣子小純的幫忙,真的讓我很感動。
回雲林 買了1800中藥粉 熱敷
回到雲林,還沒回到家就要爸停在全聯社讓我剪髮,因骨裂盥洗不方便,索性把頭髮給剪短了。
回到家後,媽有提到大伯父之前骨折的事,大伯母的娘家是中藥行,有幫大伯父抓藥,大伯父吃了,很快就復原了,剛好大伯母娘家離我家不遠,爸就去幫我買了中藥回來,一罐要一千八,但看起來不太起眼,感覺和一般中藥都一樣,希望能有效才好。
一罐1800的中藥粉↓
晚上媽還有拿熱敷毯讓的熱敷,我把手跟腳放進毯中,後來才想起腳的副木不能遇熱,趕緊檢查一下,還好沒變形。
--
| 仙人掌(2019/02/01)的真心話 星期五 天氣晴 編號19-029 |
媽幫我洗頭
今天媽幫我洗頭,還好奶奶之前所用的醫療用椅還在。因為只有洗頭,所以衣服沒脫,就穿上雨衣洗頭,穿雨衣洗還是第一次呢。
醫療用椅↓
--
| 仙人掌(2019/02/02)的真心話 星期六 天氣晴 編號19-030 |
買固定手腕的醫療用品
今天至隔壁大樹藥局買了一個固定手腕的醫療用品,原本已經有一個穿戴在手上了,但因為要戴蠻久的一段時間,有時也需要清洗,於是多買了一個來交替。
黑色是今日所購買的,膚色則是原本的↓

晚上,受傷後第一次自已洗澡,還是感到有些吃力啊。
--
| 仙人掌(2019/02/04)的真心話 星期一 天氣晴 編號19-031 |
晚上,副木的魔鬼氈脫落了,副木因為是在腳上,走動時會有擦磨,所以魔鬼氈的粘貼處整個掉了,爸媽幫我去五金行買魔鬼氈才能再度正常使用。
--
| 仙人掌(2019/02/05)的真心話 星期二 天氣晴 編號19-032 |
晚上,我試著自己洗頭、洗澡,這也是我自受傷後,自己獨立洗頭,順利完成之後,心裡頭有點感動,代表我的狀態持續在進步中。另外,我用受傷的右手拿起裝滿零錢的小豬撲滿時,也都能順利拿起,加油,希望我能夠早日康復。
骨裂的右手已經可以拿起裝滿零錢的小豬撲滿↓
--
| 仙人掌(2019/02/07)的真心話 星期四 天氣晴 編號19-034 |
今天爸也幫我買了第二罐(1800元/罐)的中藥粉。
--
| 仙人掌(2019/02/08)的真心話 星期五 天氣晴 編號19-035 |
青蛙湯有助骨折?
晚上我請爸幫我買青蛙湯,有一段時間沒吃了,今天忽然很想吃,後來想說青蛙湯會不會跟骨折有關聯性,google的結果,青蛙湯有助骨折耶。
有助於骨折的青蛙湯↓
--
| 仙人掌(2019/02/11)的真心話 星期一 天氣晴 編號19-037 |
--
| 仙人掌(2019/02/14)的真心話 星期四 天氣晴 編號19-039 |


| 仙人掌(2019/02/15)的真心話 星期五 天氣晴 編號19-040 |
起床之後,腳的情況和昨天比起來有好了許多,所能彎的角度更大了。
左圖為昨日所能彎的角度,右圖為今日所能彎的角度↓
--
| 仙人掌(2019/02/16)的真心話 星期六 天氣晴 編號19-041 |
今日腳能彎的角度約可以彎到九十度了,硬拗可彎超過九十度,不過不急著讓它彎,等肌力慢慢恢復後,我想一切都可以正常。
左圖為昨日所能彎的角度,右圖為今日所能彎的角度↓
目前走路沒什麼問題,但因為腳的副木戴了一個月,腳都無法彎曲,現在拆下副木之後,反而要重新學習如何走路。上下樓梯就比較吃力了,肌力還不夠,左腳還沒有辦法撐起全身的重量,走的有些辛苦。
今日上樓梯的情況↓
--
| 仙人掌(2019/02/17)的真心話 星期日 天氣晴 編號19-042 |
中午,和小純 外出吃午餐,這是我受傷後,拆下腳上的副木,第一次搭乘機車,很順利的到達目的地了,目前腳的部份依然持續進步中....。吃完中餐之後,我們去附近的7-11買『峰王膠原飲』,我昨晚有和小純提到要補膠原蛋白,小純有告訴我說,7-11的『我的美麗日記』現在『峰王膠原飲』有打五折優待,他之前拔智齒時,就是一直喝『峰王膠原飲』,所以回復的很快。我問小純,怎麼到現在才把這件事情告訴我,小純說因為我現在喝的雞精就有膠原蛋白了,所以他沒特別說。
我們跑了第一家7-11,他只剩下兩罐,這小小的一罐,原價要一百二十元呢,如果沒打折,實在是買不下手。買完之後,又跑到另一家7-11,也剩下兩罐,就全買走了。走出7-11後,小純說店員把他的代收優惠券丟了,一問我才知道,原來『峰王膠原飲』能夠打五折,是用代收優惠券才有的折扣,剛剛在第一家7-11時,店員把代收優惠券還給小純,第二家店員跟小純說:「我幫你把代收優惠券丟了喔。」當時還在恍然的小純就說好,回神時已經來不及了,沒優惠券了。
對骨折的人來說,看到膠原蛋白就好像是西遊記裡頭的妖怪看到唐三藏的肉一樣啊↓
--
| 仙人掌(2019/02/18)的真心話 星期一 天氣晴 編號19-043 |
心情指數:★★★ 完整性:低
| 仙人掌(2019/02/19)的真心話 星期二 天氣晴 編號19-044 |
這幾天小純有提醒我說,01月31日那天回診時,黃醫師有建議我可以用彈力球去訓練手指的的力量,我那天可能在恍神吧,因為我沒印象有這件事情,不過還好我之前就有買過了,太大力握,還是會疼痛,得慢慢來。

下午,和小純去7-11拿了網路上訂的護膝,小純說這是保護髕品專用的護膝,我穿戴上去後,因為膝關節都被包住了,原本能彎的腳變得不能彎了,感覺和之前穿副木的感覺差不多。
小純幫我買的護膝↓

和小純去文心森林公園看元宵燈會
離開7-11之後,我們去文心森林公園看燈會,說到燈會,我和小純自2010年開始,每一年都有去看燈會,最早都去文心森林公園看,但前幾年文心森林公園停辦了,今年又恢復了。我和小純還是比較懷念在文心森林公園所舉辦的燈會。
因為前陣手腳骨裂,腳上的副木石膏穿戴了近三十天,最近才拆下,原本一開始想說,也許今年的燈會無法去看了,還好副木拆下之後,恢復的情況還算良好,才能來看今年的燈會,踏進燈會現場,有點感動。
(因本篇文章內容著重在骨折的過程,所以燈會內容省略,有興趣者請連結到Xuite或Pixnet)
今天是我自從受傷之後走最多路的一天了,雖然有些吃力,但也算是漸漸的進步當中,要回家時,我拆下護膝,卻發現膝蓋的關節很緊,過一會兒才慢慢能夠彎,希望能夠盡快恢復。
--
| 仙人掌(2019/02/20的真心話 星期三 天氣晴 編號19-045 |
昨天買了一個保護髕骨用的護膝,戴起來後,發現都膝蓋都被包住了,導致腳不能彎,當時我認為我所購買的護膝,應該是適合髕骨剛受傷的人。不過今天我又拿起包裝來看,發現它是主打運動的,既然是運動的,怎麼可能會把膝蓋給包到不能跑。後來發現,之前在穿戴副木時,都把副木綁到腳不能彎,我和小純昨天是用穿戴副木的方法在穿護膝,綁的太緊了,難怪走不了。
護膝的說明↓


應該不要綁太緊,讓腳可以彎↓

晚上,泡了受傷後的第一次熱水澡,髕骨的骨頭已癒合,接著應該要著重在肌力的強加,以及筋骨的伸展,原本我坐進浴缸時,膝蓋還是緊緊的,彎到一個角度就會酸痛,但後來越泡腳感覺越舒適,慢慢能夠再彎下去了,看來之後要常泡澡才是。
--
| 仙人掌(2019/02/22的真心話 星期五 天氣晴 編號19-046 |
去骨科診所復健
早上,小純載我去台灣大道上的骨科診所看診,自從一星期前取下副木之後,我便覺得膝蓋的情形一直在好轉,不過最近幾天,好轉的進度卡住了,於是我決定尋求外力幫忙。中港路這家骨科算是蠻新的診所(它的粉絲專頁上寫著2017年09月開幕,距今不到一年半),原本我不知道這家骨科診所,01月17日要去澄清看骨科時有經過才發現這家。
掛號時,護理師看到我右手手腕上有固定的護腕,於是在填寫資料時,就由護理師幫我填寫,我覺得蠻貼心的(不過我今天主要是來看腳的,不是看手)。進到診間之後,我把我的情況告知鄭醫師,我跟鄭醫師說,我一個星期前才拆下副木,不過膝蓋還不能完全彎,彎太下去膝蓋會酸痛。鄭醫師叫我彎給他看,我做了彎的動作後,鄭醫師覺得我復原的情況算是還不錯。
接著,我趁機詢問一下手的問題:「我的ㄧㄠˊ骨也有骨裂....。」沒想到我剛說完ㄧㄠˊ骨,小純和剛剛幫我寫資料的護理師,異口同聲的說是橈(ㄖㄠˊ)骨,害我感到有些丟臉,連自己的情況都說不清楚。我比著手腕會酸痛的部份,詢問說,是否是因為還在發炎,所以會酸痛,鄭醫師說,是因為骨頭還沒癒合所產生的酸痛。
手會酸痛的地方↓

電療完就是熱敷了,和電療比起來,熱敷舒服多了。
熱敷中↓

雖然是熱敷腳,但同是骨裂的右手也可以伸進去烘,一兼二顧↓

回家後,我兩腳做了比對,抬腿彎膝蓋時,右腳小腿可貼近大腿,但受傷的左腳還不行。
左右腳抬腿彎膝的差異↓

也試著把腳往後抬,右腳可以抬到讓手抓住,受傷的左腳則還沒辦法。
左右腳往後抬的差異↓
--
| 仙人掌(2019/02/25)的真心話 星期一 天氣晴 編號19-049 |
去骨科診所復健
早上,小純載我去骨科診所看診,一開始同樣是電療,不過和上回不一樣的是,上個四個貼片,是兩前兩後,這回四個貼片,都貼在前面,雖然一開始覺得怪怪的,但也沒特別去詢問。
上回貼片是兩前兩後,今天則是四個貼片都貼在前面↓

接著,我在熱敷時,看到我面前有一個Light Dr(光療)的廣告,我越看越覺得好像蠻適合我的(增加活動彈性度、提高肌耐力、放鬆和減壓....),忽然間,我聽到隔壁有一個歐巴桑問歐巴桑正在做著Light Dr,而歐巴桑所指的『他』,就是指我,他問

骨科診所其他的自費項目↓

--
| 仙人掌(2019/02/26)的真心話 星期二 天氣晴 編號19-050 |
相較於副木剛拆下時不太能走,現在已進步許多了↓
--
| 仙人掌(2019/02/28)的真心話 星期四 天氣晴 編號19-052 |
至澄清醫院回診
下午,小純載我至澄清醫院回診,今天也把上月17日所借的拐仗給歸還了,其實拐仗自從借來之後,也用不太到,最主要的原因,是因為我是髕骨受傷,副木穿戴上之後,雖然腳不能彎,但可以行走,另外一點是,拐扙需要用手的力量去支撐,我手腕裂開,無法施力,所以也不方便使用,不過澄清醫院願意借民眾拐仗,且不用花任何費用,讓我覺得很貼心。

歸還完拐仗之後,至批價、掛號處,之前三次來看診,都是坐輪椅搭電梯,今天總算可以搭乘手扶梯了,讓我有點感動。繳完錢之後,接著去照X光,之前都照手和腳,從今天起腳不用照了。照完之後就去候診了。前兩次的回診,手的部份黃醫師都跟我說沒什麼變化,我聽了都感到很喪氣,也深怕今天看完診後,又得到同樣的回覆。
或許今天是228放假日,來醫院看病的人蠻多的,我們等了一段時間才被叫到。進到診間後,黃醫師調出X光資料,發現橈骨已癒合很多了,讓我感到很吃驚,兩個星期前還是很明顯的骨裂,現在已經看不太到了(小純說,一定是峰王膠原飲發揮了功效,這兩週內,膠原蛋白喝了八罐了)。黃醫師說,我的手腕護具可以拿掉了,我拿起護具後,黃醫師拉了我的手腕做一些轉動的動作,還是有些痛,黃醫師叫我要多做熱敷,手可以開始做復健了,也可以讓手開始做一些事情,但避免提重物,兩個星期後再回診看角度。
今日所拍的X光照↓

這三次回診的X光片,相較前兩次,今天已經癒合許多了↓

另外,黃醫師也開了一開診斷書給我,還需花一些時間去讓骨頭癒合、復健。但是經過今天的看診,心情踏實了不少,希望能盡快恢復。
診斷書內容↓

澄清醫院看到的動漫↓

回到家後,我並沒有馬上脫下手腕護具,但是有把護具的固定處都打開,目前我還不敢一下子就脫下護具,我覺得我還是需要他,但會漸漸減少對護具的依賴了。
目前護具固定處都打開,偶爾會穿戴回去↓

--
| 仙人掌(2019/03/01)的真心話 星期五 天氣晴 編號19-053 |
至骨科診所復健
骨科診所
| 仙人掌(2019/03/02)的真心話 星期六 天氣晴 編號19-054 |
手腕目前往上能彎一點點,往下就幾乎彎不下去↓
--
| 仙人掌(2019/03/08)的真心話 星期五 天氣雨 編號19-059 |
至骨科診所復健
晚上,我去看了中醫(其實早上也有去做腳的復健),我的右手自從二月底護腕可以拿掉之後,一直沒有做任何的處理,因為卡在健保局說一次復健只能做一個地方,所以手才會都沒做處置,但我一直覺得這樣很奇怪,會延後我恢復的時間,所以趁著今天,我去了一趟中醫。
幫我看診的醫師,有發現我的右手(骨裂手)有比左手來的腫大,我聽了感覺不太妙,因為之前都泡熱水或吹電暖器熱敷,但如果是腫的話,那應該要用冰敷才對,我知道這道理,但我不知道我的手有腫,所以才會熱敷,我以為骨折一開始才會腫呢....。
看完診之後,到二樓給師傅看,他看我的X光照片說,橈骨斷直的很少見,要用外力去把裂痕給壓小,這樣才好的快(呃....老實說,我有些半信半疑的,但既來,只能隨遇而安了),師傅還告訴我說,骨頭癒合時會腫脹。師傅做了幾個動作,我無法做,因為我的手腕都不能轉了,當然無法做這些動作。師傅一直抓按我的手,說我會漸漸不感到那麼酸痛了,不知道是不是心理作用的原故,好像有舒服了一些,最後又貼了草藥回去。
看中醫↓
--
| 仙人掌(2019/03/09)的真心話 星期六 天氣雨 編號19-060 |
至骨科診所復健
| 仙人掌(2019/03/11)的真心話 星期一 天氣晴 編號19-062 |
至骨科診所復健
--
| 仙人掌(2019/03/14)的真心話 星期四 天氣晴 編號19-065 |
至澄清醫院回診
下午,小純載我至澄清醫院回診,相較於前三次的回診都先批價、照X光再到診間報到,今天則是到醫院後直接就去診間報到了。一開始我們還以為要先去批價,批價時櫃台小姐跟我們講說,我們最後再去繳費就好,我又詢問不用去照X光嗎?櫃台小姐說沒有開照X光的單子,於是我們就去診間報到了。
進了診間之後,我詢問黃醫師不要照X光嗎?黃醫師回應我說:「照X光也不會比較好。」他看我的手腕都無法彎曲,跟我說,叫我要在家裡頭自己拗,手腕才不會硬掉,黃醫師在幫我拗手時,我的手痛到不斷哀號,在一旁的小純,不僅沒有同情我,還跟黃醫師說我很怕痛。更加碼跟黃醫師說我現在有時出門還會帶著護腕,小純一直覺得我現在應該不要戴了,但我覺得護腕還是有保護的作用,重點是,不會讓我的手痛,黃醫師也說他對我戴護腕的事,沒有什麼意見。原本黃醫生叫我三個星期後再回診,但我覺得太久了,怕這段期間衍生什麼問題,於是請黃醫師幫我開兩個星期後回診的單子。
今天的看診,很快就結束了,回家之後,泡熱水澡,在水中不斷的拗手,拗的手很痛。
目前左右手所能拗的程度對比↓
| 仙人掌(2019/03/20)的真心話 星期三 天氣晴 編號19-071 |
至骨科復健

買了一個電熱毯
晚上,至榮總附近的杏一買了一個熱敷墊,希望能夠對我的手有幫助。


--
| 仙人掌(2019/03/21)的真心話 星期四 天氣晴 編號19-072 |
小純載我至骨科復健
| 仙人掌(2019/03/23)的真心話 星期六 天氣晴 編號19-074 |
至骨科復健
。

--
| 仙人掌(2019/03/25)的真心話 星期一 天氣雨 編號19-076 |
至骨科復健
。會先停個幾天,看情況再決定要不要再復健。

--
| 仙人掌(2019/03/28)的真心話 星期四 天氣晴 編號19-079 |
澄清醫院回診
下午,小純陪我去澄清醫院回診,黃醫師看了我右手的情形,以及所能彎曲的角度,對我說:「你復原的很慢喔。」叫我回家一定要拗手,還說:「你自己要拗,我也不能每天都去你家幫你拗呀。」看到我被拗露出痛苦的神情時,還跟我說:「回去自己拗,好好的折磨自己吧。」
之後,我去照了X光,因為一個月前照X光,感覺已經快好了,我以為今天去照,骨頭應已癒合的差不多了。結果照出來之後,竟然還能看的到裂痕,讓我大吃一驚。唉....可能要等一陣子才會好。
今日所拍攝的X光照↓
最近四次所拍的X光↓
目前右手只能彎到這樣就會開始疼痛了↓
--
| 仙人掌(2019/04/01)的真心話 星期一 天氣雨 編號19-083 |
到養生館看手腕
--
| 仙人掌(2019/04/03)的真心話 星期三 天氣晴 編號19-085 |
至中醫看手腕
晚上,至中醫看手腕,原本我一直認為是護腕帶了一個半月的關係,手腕都沒轉動,導致於僵硬而動不了。但今天師傅卻說,我應該是『三角纖維軟骨』有受損,才導致手腕動會疼痛。師傅按了我手腕及手肘附近的幾個地方,都會酸痛,回家之後上網查了有關『三角纖維軟骨』的資料,好像真的跟我的情況很類似,手受傷近三個月了,都還沒恢復,覺得好煩。
--
| 仙人掌(2019/04/07)的真心話 星期日 天氣晴 編號19-089 |
至中醫看手腕
| 仙人掌(2019/04/09)的真心話 星期二 天氣晴 編號19-091 |
至中醫看手腕
| 仙人掌(2019/04/11)的真心話 星期四 天氣晴 編號19-093 |
| 仙人掌(2019/04/13)的真心話 星期六 天氣雨 編號19-095 |
| 仙人掌(2019/04/17)的真心話 星期三 天氣晴 編號19-099 |
| 仙人掌(2019/04/19)的真心話 星期五 天氣雨 編號19-101 |
| 仙人掌(2019/04/27)的真心話 星期六 天氣晴 編號19-108 |
| 仙人掌(2019/05/02)的真心話 星期四 天氣雨 編號19-113 |
前四次所拍的X光↓
填完資料後,因為今日復健的人多,所以我等了一陣子才被叫進去評估室,進到評估室後,有兩位物理治療師在裡頭,我的手做了許多動作,推、拉、轉、用手指的力量去抗衡外部力量等等,發現很多動作都會牽動著我的手腕。兩位物理治療師討論著我的情況,不過參雜著許多專業的英文用語,雖然我聽不懂,但總覺得『早應該來澄清復健才對』,因為他們會評估每個人的情況去做治療。手評估完之後,又要幫我評估腳,我說腳已經好了,可跑可走,不需做復健了。
手腕疼痛的地方↓
| 仙人掌(2019/05/07)的真心話 星期二 天氣陰 編號19-118 |
--
| 仙人掌(2019/05/10)的真心話 星期五 天氣晴 編號19-121 |
| 仙人掌(2019/05/14)的真心話 星期二 天氣晴 編號19-125 |
熱放、雷射↓
| 仙人掌(2019/05/17)的真心話 星期五 天氣雨 編號19-128 |
至澄清醫院復健
下午近四點,到澄清醫院去做手腕的復健,在徒手治療時,手仍是非常疼痛,唉....
熱敷、電療↓

雷射↓

--
| 仙人掌(2019/05/21)的真心話 星期二 天氣晴 編號19-132 |
至澄清復健
下午近四點,到澄清復健,目前手腕的情況是,往上、往下,左右轉都會疼痛,不過左右轉倒是還好,往上主要則是在做『撐』的動作最痛,往下如果我手出力時不會痛,但如果是整隻手放鬆往下壓很快就痛了,若是把整雙手往上拉(用外力讓骨頭不那麼密合),同時再往下壓,手的疼痛度就會減少,唉....手的問題感覺好複雜啊。
熱敷、雷射↓

電療↓

--
| 仙人掌(2019/05/24)的真心話 星期五 天氣晴 編號19-135 |
小純陪我至澄清醫院復健科回診
這星期二,第一輪的六次復健已經結束了,當時復健中心的櫃台小姐有詢問找要回骨科門診還是復健科,最後我選了復健科,主要是因為我已經請了星期五的假了,不太適合再變更請假日期(骨科黃醫師是星期四看診),另外一個最主要的因素是,因為我骨頭已經癒合的差不多了,現在而言,應該是復健為第一要務。
今天掛的復健科,是給蕭醫師看,他看了X光後,認為我的骨頭還在漲,還在發炎,所以很多手腕的動作都會出現限制,工作時盡量保護手腕,我這種情形大約三到六個月左右會有所改善(目前已四個月了),就算沒有復健,也會慢慢好。
今天蕭醫師開了不同於上次的復健療程,單子上頭寫著『中度治療 - 中度Moderate』,看到中度兩個字,讓我覺得我現在的狀況,應該不算輕微,但也不嚴重。

回到復健中心後,先做了熱敷,再做徒手治療(也是被拗的唉唉叫),原本的雷射改成超音波了,第一次做手腕的超音波,每做一次八分鐘,不會感到不舒服,最後再做了電療。

--
| 仙人掌(2019/05/28)的真心話 星期二 天氣雨 編號19-139 |
至澄清醫院復健
下午三點半左右,至澄清做復健,

熱敷及電療↓

--
| 仙人掌(2019/05/31)的真心話 星期五 天氣晴 編號19-142 |
至澄清醫院復健
下午至澄清復健,仍然被按壓的唉唉叫..不知道到底何時才會好啊。

--
| 仙人掌(2019/06/03)的真心話 星期一 天氣晴 編號19-145 |
去澄清醫院復健
這星期五是端午連假,澄清的復健中心跟著也休假,因為我平常都是星期五去復健,所以我星期五就無法去了,不過我還是希望一個星期能夠保持兩次的復健。所以我上星期五特別問了治療師他這星期有沒有上晚班,得知星期一有,我便來掛號做復健了。
我大約五點四十五分到達復健中心,那時門還關著,要晚上六點才開始。
復健時間表↓
--
| 仙人掌(2019/06/04)的真心話 星期二 天氣雨 編號19-146 |
至澄清復健
下午,至澄清復健,治療師覺得,我手腕能彎的角度,應該要更大才對。治療師還說,如果我的手腕是關節面的問題,那用徒手治療效果就不大了,建議我在回診日時,可以再詢問醫生看看。
熱敷、電療↓
--
| 仙人掌(2019/06/11)的真心話 星期二 天氣雨 編號19-152 |
--
| 仙人掌(2019/06/14)的真心話 星期五 天氣陰 編號19-155 |
至復健科回診
至澄清復健科後,診間報到完,很快就輪到我了,我跟蕭醫師說,治療師覺得我手腕彎曲的角度還是很有限,建議我照個X光再請醫師評估看看。蕭醫師說拍X光沒用,他調出我之前的X光,及磁振照影(MRI)的資料,又看了我的手腕情況,他覺得角度有比之前大了,他反問我說:「你不覺得角度有變大了嗎?」蕭醫師認為我的進度是正常的,手腕本來就沒那麼快,而且我一開始沒有復健。我跟蕭醫師說,我一開始有在診所做復健,蕭醫師回我說,診所的復健,都只做電療,他們不會幫你拗手,啊...說的沒錯,之前診所都沒幫我拗手,所以當時才會跑去給中醫看,請中醫幫我撟。另外,我沒有馬上復健,跟健保局的規定也有關係,我當時手、腳都受傷,在診所卻不能一次復健兩個部位,以致於有稍稍去擔誤到。
當時的情況如以下,我在今年02月28日,骨科醫師評估我可以拿掉護腕開始做復健,不過卻是隔了一個多星期才開始做手的復健。固定拗手的時間更是四月之後了,影響到我的復健進度,唉...不同部位不能同時做復健,真是個很糟糕的規定。
2019年01月16日
發生交通事故手腳疼痛,當日至西屯路骨科看診,但因X光一次只能照一處,所以只處理手,經檢查後為橈骨骨裂,用裝著鐵片的護腕做固定。
2019年01月17日
至澄醫醫院骨科看腳,經檢查為髕骨骨裂,使用副木石膏固定。
2019年02月14日
澄清骨科醫師評估,副木石膏可以拿掉,並開始復健及練習走路。
2019年02月22日
開始在台灣大道骨科復健腳。
2019年02月28日
澄清骨科醫師評估,手腕的護腕可以拆下,並可開始復健。
2019年03月01日
至台灣大道骨科復健腳時,詢問護理人員是否能夠手腳同時做復健,所得到的回應是,健保局說不行,一定要一個復健療程做完,才能做下一個。
2019年03月08日
因健保局規定不能復健兩個地方,但我也不可能因此不去處理我的手腕,便至附近中醫看診。
2019年03月11日
因健保局規定不能復健兩個地方,所以我盡快在台灣大道骨科做完六次腳的復健後,改做手腕的復健。
2019年03月28日
澄清醫院骨科回診,醫師認為我復原的很慢,回家要自己拗手。
2019年04月01日
因台灣大道骨科的手腕復健,並沒有拗手,所以捨棄台灣大道骨科的復健,改成民俗療法及中醫。
回到復健中心,把蕭醫生的話告訴治療師,治療師說,既然蕭醫師這麼認為,那就照原本的方式再繼續下去吧。我也把之前不能同時復健兩個部位的事情告訴治療師,治療師說可能是因為診所的人力不足才會這樣。這句話的另外一個意思,應該是『診所無法同時做兩個部位的復健,但大醫院可以』。我記得當時骨科的黃醫師是開給我手和腳的單子,叫我拿去復健科,但我當時卻已痊癒了,所以只做手,不然應該是可以手腳一起做,如果我一開始復健就來澄清的話,也許時間就不會拖那麼久了,唉....。
05月04日骨科黃醫師開給我的復健單↓

熱敷及電療↓
--
| 仙人掌(2019/06/18)的真心話 星期二 天氣晴 編號19-159 |
--
| 仙人掌(2019/06/19)的真心話 星期三 天氣晴 編號19-160 |
--
| 仙人掌(2019/06/25)的真心話 星期二 天氣雨 編號19-166 |
--
| 仙人掌(2019/06/28)的真心話 星期五 天氣晴 編號19-169 |
--
| 仙人掌(2019/07/01)的真心話 星期一 天氣雨 編號19-172 |
--
| 仙人掌(2019/07/05)的真心話 星期五 天氣雨 編號19-176 |
--
| 仙人掌(2019/07/09)的真心話 星期二 天氣雨 編號19-180 |
| 仙人掌(2019/07/15)的真心話 星期一 天氣晴 編號19-185 |
| 仙人掌(2019/07/23)的真心話 星期二 天氣晴 編號19-193 |
| 仙人掌(2019/07/26)的真心話 星期五 天氣晴 編號19-196 |
| 仙人掌(2019/07/29)的真心話 星期一 天氣晴 編號19-199 |
去澄清看骨科及復健
下午兩點多,再度回到澄清去,今天是回診日,感覺骨科鍾醫師也覺得我的進度回復的很慢,但有比上一次看診進步了,叫我持續做復健。
鍾醫師開的復健單↓
| 仙人掌(2019/08/16)的真心話 星期五 天氣雨 編號19-217 |
原本今天我是第五次的復健,照理說還有一次,但是因為我下星期一請假,為了不多請假,我將在下星期一直接回診。
| 仙人掌(2019/08/21)的真心話 星期三 天氣晴 編號19-222 |
| 仙人掌(2019/08/22)的真心話 星期四 天氣晴 編號19-223 |
下午兩點,去做復健,我跟治療師說,昨天我回診時,骨科鍾醫師說我復原的情況已經很好了,而且也不會影響到日常生活,治療師聽了後,告訴我,一般人的手腕,往前往後約八、九十度,我目前可彎六、七十度,差那二、三十度其實影響不算大。我自己也認為不致於影響日常生活,但是不出力時手腕彎會痛,代表還沒痊癒,實在不想因為不會影響到日常生活而放棄治療。
| 仙人掌(2019/08/27)的真心話 星期二 天氣晴 編號19-228 |
下午兩點,再到B1做復健,治療師這回有幫我用貼布固定住。
--
| 仙人掌(2019/08/28)的真心話 星期三 天氣晴 編號19-229 |
下午兩點,到B1去做復健,治療師看到昨天貼的貼布,沒什麼效果,無奈的說,他已經快想不出其他招式了,他猜測我的韌帶鬆掉了,他們比較常把緊的弄鬆,比較少弄把鬆弄緊。
聽完了之後,心情有些鬱悶,不過我心裡頭也大致有個底,我自已也覺得手腕好像沒那麼好搞定,不過慶幸的是,我的骨裂(包括手與腳)癒合後,目前不會對日常生活中造成影響,也可以提重物,自己在家拿球丟牆壁也沒問題,只是手腕彎的角度比較無法像以前一樣彎90度,有些動作會造成手的某個點疼痛,但很快就不痛了。
--
| 仙人掌(2019/08/29)的真心話 星期四 天氣晴 編號19-230 |
下午兩點初,到B1去做復健,今天已是第五次了,預計明日會暫時做一個結束,今天治療師也教我,在家有空做「把受傷的右手手腕壓著,整支手再往外、往下拉」的動作。
--
| 仙人掌(2019/08/30)的真心話 星期五 天氣雨 編號19-231 |
早上,去B1復健,拿到復單後,發現從5月4日之後,我已經做了35次復健了(包含今天),今天將會暫時做個結束。 做完復健後,去中港櫃台辦理診斷證明(申請保險用的,每份130元,第二份起,每份30元),並申請這陣子的收據, 沒想到申請診斷證明也要付掛號費100元。
回首這次的骨裂事件,不知不覺就花了將近六千五百元了,加上其他診所的治療,加起來超過八千了 (當中還不包括骨裂期間所購買的補品等等.....)。
我在掛號時竟然遇到和我名字前後都一樣的人,我都快忘了我是59還是78了↓
| 仙人掌(2019/09/28)的真心話 星期六 天氣晴 編號19-260 |
| 日期 |
金額 |
| 2019.01.16 西屯路骨科診所(手) | 1000 |
| 2019.01.17 澄清醫院骨科(手、腳) | 340 |
| 2019.01.31 澄清醫院骨科(手、腳) | 340 |
| 2019.02.14 澄清醫院骨科(手、腳) | 340 |
| 2019.02.22 中港路骨科診所復健(腳) | 200 |
| 2019.02.25 中港路骨科診所復健(腳) | 50 |
| 2019.02.28 澄清醫院骨科(手、腳) | 340 |
| 2019.03.01 中港路骨科診所復健(腳) | 50 |
| 2019.03.05 中港路骨科診所復健(腳) | 50 |
| 2019.03.08 中港路骨科診所復健(腳) | 50 |
| 2019.03.08 遊園路中醫診所(手) | 150 |
| 2019.03.09 中港路骨科診所復健(腳) | 50 |
| 2019.03.11 中港路骨科診所復健(手) | 200 |
| 2019.03.13 中港路骨科診所復健(手) | 50 |
| 2019.03.14 澄清醫院骨科(手、腳) | 340 |
| 2019.03.20 中港路骨科診所復健(手) | 50 |
| 2019.03.21 中港路骨科診所復健(手) | 50 |
| 2019.03.23 中港路骨科診所復健(手) | 50 |
| 2019.03.25 中港路骨科診所復健(手) | 50 |
| 2019.03.28 澄清醫院骨科(手、腳) | 340 |
| 2019.04.01 遊園路養生館(手) | 150 |
| 2019.04.03 遊園路中醫診所(手) | 150 |
| 2019.04.07 遊園路中醫診所(手) | 150 |
| 2019.04.09 遊園路中醫診所(手) | 150 |
| 2019.04.13 遊園路中醫診所(手) | 150 |
| 2019.04.17 澄清醫院照磁振造影(手) | 0 |
| 2019.04.19 遊園路中醫診所(手) | 150 |
| 2019.04.27 遊園路中醫診所(手) | 150 |
| 2019.05.02 澄清醫院骨科 + 復健部(手) | 340 |
| 2019.05.07 澄清醫院復健部(手) | 50 |
| 2019.05.10 澄清醫院復健部(手) | 50 |
| 2019.05.14 澄清醫院復健部(手) | 50 |
| 2019.05.17 澄清醫院復健部(手) | 50 |
| 2019.05.21 澄清醫院復健部(手) | 50 |
| 2019.05.24 澄清醫院復健科 + 復健部(手) | 340 |
| 2019.05.28 澄清醫院復健部(手) | 50 |
| 2019.05.31 澄清醫院復健部(手) | 50 |
| 2019.06.03 澄清醫院復健部(手) | 50 |
| 2019.06.04 澄清醫院復健部(手) | 50 |
| 2019.06.11 澄清醫院復健部(手) | 50 |
| 2019.06.14 澄清醫院復健科 + 復健部(手) | 340 |
| 2019.06.18 澄清醫院復健部(手) | 50 |
| 2019.06.19 澄清醫院復健部(手) | 50 |
| 2019.06.25 澄清醫院復健部(手) | 50 |
| 2019.06.28 澄清醫院復健部(手) | 50 |
| 2019.07.01 澄清醫院骨科 + 復健部(手) | 340 |
| 2019.07.05 澄清醫院復健部(手) | 50 |
| 2019.07.09 澄清醫院復健部(手) | 50 |
| 2019.07.15 澄清醫院復健部(手) | 50 |
| 2019.07.23 澄清醫院復健部(手) | 50 |
| 2019.07.26 澄清醫院復健部(手) | 50 |
| 2019.07.29 澄清醫院骨科 + 復健部(手) | 340 |
| 2019.08.02 澄清醫院復健部(手) | 50 |
| 2019.08.09 澄清醫院復健部(手) | 50 |
| 2019.08.12 澄清醫院復健部(手) | 50 |
| 2019.08.16 澄清醫院復健部(手) | 50 |
| 2019.08.20 澄清醫院復健部(手) | 50 |
| 2019.08.21 澄清醫院骨科 (手) | 340 |
| 2019.08.22 澄清醫院復健部(手) | 0 |
| 2019.08.26 澄清醫院復健部(手) | 50 |
| 2019.08.27 澄清醫院復健部(手) | 50 |
| 2019.08.28 澄清醫院復健部(手) | 50 |
| 2019.08.29 澄清醫院復健部(手) | 50 |
| 2019.08.30 澄清醫院復健部(手) | 50 |
| 2019.08.30 澄清醫院骨科 | 100 |
| Total | 8730 |
--
| 醫療單位 | 金額 |
| 西屯路骨科診所 * 1 | 1000 |
| 澄清醫院骨科 * 11 | 3500 |
| 中港路骨科診所復健 * 12 | 900 |
| 遊園路中醫診所 * 7 | 1050 |
| 遊園路養生館 * 1 | 150 |
| 澄清醫院復健科 * 2 | 680 |
| 澄清醫院復健部 * 35 | 1450 |
| Total | 8730 |
--
| 仙人掌(2019/10/29)的真心話 星期二 天氣晴 編號19-291 |
公司幫我保的國泰傷害醫療限額保險金下來了,共可以領到9,600元,還不錯,醫藥費的錢都回來了(不過在補品方面也花了不少啊)。
--
| 仙人掌(2019/11/05)的真心話 星期二 天氣晴 編號19-298 |
前陣子國泰有傳簡訊給我,告知理賠金下來了,共九千六百元。今日國泰的人有來公司,跟我說,骨折件附上X光的資料還能夠再申請理賠,嗯,看來我要再找時間去澄清申請X光資料。
--















































































































































































